티스토리 뷰
아침에 자고 일어났을 때 뒷목이 뻣뻣했거나 어깨가 걸렸던 적, 그리고 등에 담이 왔던 적 한 번씩은 경험해 보셨을 거예요. 우리가 매일 베고 자는 배게의 각도가 조금만 틀어져도 목에 무리가 갈 수 있다는 사실 알고 계셨나요? 집에서 먼저 편하게 30일 무료체험이 가능한 에그젤베개(거북목 TPE베개)에 대해서 알려드리겠습니다.
* 목차
- 거북목/일자목 원인 및 증상(자가진단)
- 거북목/일자목에 좋은 스트레칭 및 배게추천

거북목 베개추천으로도 유명한 에그젤베개는 SNS 및 타 커뮤니티에 소개되면서 유명할 데로 유명해진 배게입니다. 지금 둥근형을 미리 구매하시면 예약주문 5,000원 할인으로 구매하실 수 있고 집에서 먼저 편하게 30일 무료체험 이벤트도 진행 중이어서 안 맞으면 어떡하지라는 걱정을 하지 않으셔도 되니 서두르시기 바랍니다.
거북목/일자목 원인 및 증상(자가진단)
거북목/일자목은 잘못된 자세로 목이나 어깨의 근육이 늘어나 통증이 생기는 증상을 말합니다. 거북목 /일자목의 가장 큰 원인은 평소에 컴퓨터 모니터를 많이 보는 사람, 특히나 낮은 위치에 있는 모니터를 내려다보는 사람에게 많이 발생하고, 책을 보는 자세에서도 유발될 수 있습니다. 거북이가 목을 뺀 상태와 비슷하여 거북목증후군이라는 이름이 붙여졌습니다.
■ 거북목/일자목 원인
- 모니터를 볼 때 고개를 앞으로 내미는 습관
- 오랜 시간 고개를 숙이고 일하는 습관
- 바닥에 책을 놓고 고개를 숙이는 습관
- 턱을 받치는 습관
- 과도하게 높은 베개 사용
- 머리와 목높이 보다 높은 베개 사용

거북목/일자목의 증상으로는 대표적으로 목덜미와 어깨가 뻐근하고 아픕니다. 또한 어깨 근육이 많이 뭉쳐 두통이 생기며 쉽게 피곤해집니다. 이로 인해 학습능률이 떨어지고 신경질이 나며 예민해집니다. 심할 경우, 팔의 저림 현상도 나타날 수 있습니다.
■ 거북목/일자목 증상(자가진단)
- 목덜미가 항상 뻐근하다
- 두통과 눈의 피로감이 심하다
- 목이 뒤로 잘 젖혀지지 않는다
- 옆에서 보면 고개가 어깨보다 앞으로 나와있다
- 등이 굽어있다
- 목, 어깨, 등이 자주 결리고 뻣뻣하다
- 잠을 자도 피곤하다


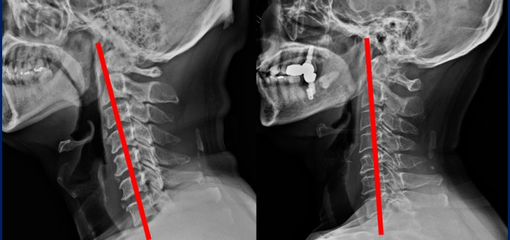
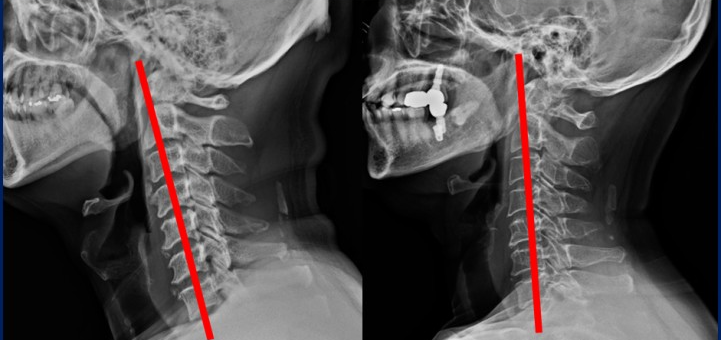
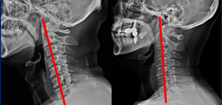
거북목과 일자목이 위험한 이유가 뭘까요?
고개가 1cm 앞으로 빠질 때마다 목뼈에는 5kg씩 하중(무게)이 증가하여 심할 경우에는 마치 목 위에 20kg 정도 되는 물건이 올라가 있는 것과 같은 부담을 지니게 됩니다.
거북목/일자목 스트레칭 및 배게추천
거북목/일자목은 현대인들에게 떼려야 뗄 수 없는 증상입니다. 스트레칭을 틈틈이 해주거나 낮은 베개를 사용하여 미리 예방하시길 추천드립니다. 간편하게 할 수 있는 거북목/일자목 스트레칭에 대해서 먼저 알아보겠습니다.
■ 거북목/일자목 스트레칭과 예방방법
1. 목커브 운동: 수건활용
수건을 양손으로 잡아 목뒤에 고정시킨다-> 이때 목이 뒤로 밀리지 않도록 고정할 것-> 천천히 수건 위로 목을 젖혀준다-> 이때 통증이 있기 전까 짐 나 움직인다-> 운동은 10회씩 3세트 반복
2. 목 신전 근력운동 스트레칭
손으로는 머리 뒤통수에 깍지를 껴서 짚고 앞쪽으로 당기며 동시에 머리는 뒤쪽으로 나아가려 하며 힘을 준다
3. 목 옆근육 스트레칭
오른손을 머리 위쪽에 올린 후 머리를 오른쪽으로 젖힌다-> 왼쪽 목 옆 근육이 늘어나는 느낌을 10~15초 동안 유지한다-> 각각 5회 반복
지금까지 일자목/거북목 원인과 증상 및 스트레칭(자가진단), 배게추천에 대해서 알아보았습니다. 현대인들에게 빼놓을 수 없는 증후군으로도 유명한 거북목/일자목인 만큼 미리 예방하시기 바랍니다.
'생활의 유용한 정보' 카테고리의 다른 글
| [신축] BEST4 대구근교 캠핑장 글램핑장 카라반 풀빌라 추천 (0) | 2023.10.24 |
|---|---|
| 올해 남성그룹 최초 멜론 TOP100 1위, 세븐틴이 세븐틴했다 (0) | 2023.10.24 |
| 단백질쉐이크추천 최대47%할인 플라이밀쉐이크 맛,가격 총정리 (0) | 2023.10.20 |
| 축구 국가대표평가전 대한민국 베트남 무료중계 및 일정 바로가기 (0) | 2023.10.17 |
| 차세대 에이스 이강인, 멀티골 튀니지 4대 0 다시보기 인스타 (0) | 2023.10.16 |